نجاح عملية جراحية دقيقة بمستشفى كفر الشيخ الجامعي بجمھورية مصر العربية لإنقاذ مريضة تعاني من ورم ضاغط على الوريد الأجوف العلوي.
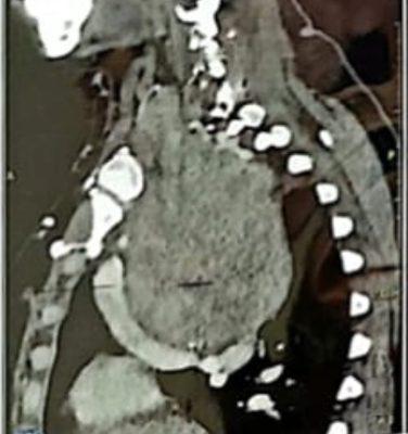
في إطار النجاحات المتواصلة التي تحققها جامعة كفر الشيخ في المجال الطبي، نجح فريق طبي متخصص من قسمي جراحة الرأس والرقبة وجراحة القلب والصدر بمستشفى كفر الشيخ الجامعي، في إجراء عملية جراحية دقيقة ومعقدة لمريضة في العقد الخامس من عمرها، كانت تعاني من صعوبات تنفس شديدة، نتيجة وجود ورم ضخم بالغدة الدرقية داخل التجويف الصدري، ضاغطًا على الوريد الأجوف العلوي (Totally intrathoracic retrosternal goitre compressing the superior vena cava).
تمت الجراحة تحت رعاية الدكتور عبد الرازق دسوقي، رئيس جامعة كفر الشيخ، وبإشراف مباشر من الدكتور محمد عبد العال، نائب رئيس الجامعة لشئون التعليم والطلاب وأستاذ جراحة القلب والصدر، وبمتابعة دقيقة من الدكتور طه إسماعيل، عميد كلية الطب والمدير التنفيذي للمستشفيات الجامعية، والدكتور خالد إسماعيل، رئيس قسم الجراحة.
أكد الدكتور عبد الرازق دسوقي، رئيس جامعة كفر الشيخ، أن هذا النجاح يعكس مدى التطور الكبير الذي تشهده مستشفيات الجامعة، والتكامل الفعال بين مختلف التخصصات الطبية، مشيرًا إلى أن الجامعة تسير بخطى ثابتة نحو تقديم خدمات صحية متميزة للمجتمع.
وأعرب رئيس جامعة كفر الشيخ عن فخره وبالغ سعادته بهذا الإنجاز الطبي مشيداً بالأطقم الطبية المدربة على أعلى مستوى، مشيراً الي إن التنسيق والتعاون بين الأقسام المختلفة، والتجهيزات الحديثة بالمستشفى الجامعي، مكنّ الفريق الطبي من التعامل مع حالة معقدة وإنقاذ حياة مريضة كانت تعاني لسنوات. مؤكداً على استمرار هذا التميز وتطوير منظومة الرعاية الصحية داخل الجامعة.
ومن جانبه، أوضح الدكتور طه إسماعيل، عميد كلية الطب والمدير التنفيذي للمستشفيات الجامعية، أن العملية تمثل قصة نجاح حقيقية في مجال جراحات الغدة الدرقية المعقدة، نتيجة التعاون والتنسيق الكامل بين الفرق الطبية المختلفة، ودعم إدارة الجامعة المستمر.
وأوضح الدكتور طه اسماعيل، أنه بفضل التخطيط الجيد، واستخدام أحدث التقنيات، وجهود فريق طبي متكامل، تمكنا من إجراء الجراحة بنجاح، ونحن نعمل دائمًا على تعزيز جودة الخدمات الطبية، ورفع كفاءة الكوادر البشرية، لخدمة المرضى من أبناء المحافظة والمحافظات المجاورة.
الجدير بالذكر أن هذه الجراحة قد استغرقت نحو أربع ساعات، أجريت باستخدام أحدث الأجهزة والتقنيات الطبية المتقدمة، وخرجت المريضة من غرفة العمليات في حالة صحية مستقرة وتخضع حاليًا للرعاية الطبية بالمستشفى الجامعي.
وتولى إجراء العملية فريق من قسم جراحة القلب والصدر بقيادة الدكتور وائل الفقي، رئيس القسم ووكيل الكلية لشئون خدمة المجتمع وتنمية البيئة، وبمشاركة الطبيب محمد خالد والطبيب أحمد عبد الوهاب (مدرسين مساعدين بالقسم)، فيما قاد فريق جراحة الرأس والرقبة الدكتور رضا فوزي، أستاذ مساعد الجراحة، وشاركه كل من الدكتور مصطفى هنيدي (مدرس الجراحة)، والطبيب محمد عابد والطبيب إبراهيم الكاشف (مدرسين مساعدين). كما شارك فريق التخدير بجهد كبير بقيادة الدكتورة هبة فؤاد (مدرس التخدير)، والدكتورة أسماء سعفان، والدكتور عمر حاتم (مدرسين مساعدين)، والدكتور عادل العبد (معيد التخدير).



